出血定位
轴外出血-颅内脑外
蛛网膜下腔出血
是蛛网膜下的急性出血。最常见的是动脉瘤破裂或外伤所致。硬膜下血肿
是硬脑膜内层和脑膜蛛网膜之间的出血。这通常是由于跨越硬膜下间隙的桥静脉的创伤性撕裂所致。硬膜外血肿
在硬脑膜和颅骨之间的虚拟空间出血。可见于颞骨骨折伴脑膜中动脉破裂。
轴内出血-脑内
脑挫伤出血
外伤后小出血,位于颅骨附近的伤侧和对侧,最常见的是额基底和颞叶前部。有时合并硬膜下血肿或蛛网膜下腔出血。弥漫性轴索损伤
在灰质-白质交界处的弥漫性损伤。CT敏感性低。最好在MRI上观察。

脑膜解剖
脑膜三层膜包裹着大脑和脊髓:硬脑膜、蛛网膜和软脑膜。
脑脊液位于蛛网膜与软脑膜之间。
硬脑膜是覆盖大脑和脊髓的最外层脑膜层。它由内脑膜层和外骨膜层两层组成。
蛛网膜是一层纤细的纤维,通过蛛网膜下腔向下延伸并附着在软脑膜上。
蛛网膜颗粒是蛛网膜通过硬脑膜外膜进入脑的硬膜静脉窦的小突起,并允许脑脊液离开蛛网膜下腔进入血流。
软脑膜是覆盖大脑的最内层,它允许血管通过并滋养大脑。

硬膜外血肿
硬膜外血肿是硬脑膜和颅骨之间的出血。
多见于颞骨骨折,导致脑膜中动脉撕裂。
理论上,硬膜外血肿可以穿过中线,因为它位于硬脑膜和颅骨之间。
然而,硬膜外血肿通常不跨越颅缝。

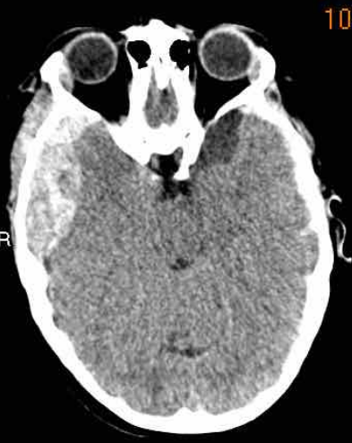
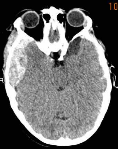
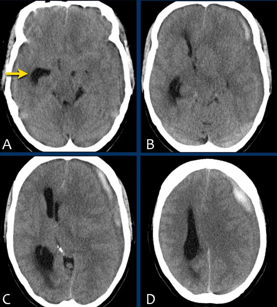
下图 11岁的男孩头撞到了路边。
他表现为心动过缓、高血压、姿势异常和无反应扩张的右眼瞳孔,这些都是脑疝和颅内压升高的症状。



CT征象
- 扁豆状颞顶部出血
- 出血的范围受颅缝的限制
- 漩涡征,代表未凝血的新鲜血液,它的密度低于周围的血肿。
硬膜下血肿
硬膜下血肿是硬脑膜内层和蛛网膜之间的血肿。
它不能越过中线,但可以跨越颅缝。
这通常是由桥静脉破裂引起的。
它通常发生在头部创伤,特别是在接受抗凝血治疗的病人。
这在老年人和酗酒者中最为常见,并伴有萎缩。
在脑萎缩中,静脉硬膜下结构在颅骨上没有很好的“填充”,这给了他们更大的活动空间和撕裂的可能性。

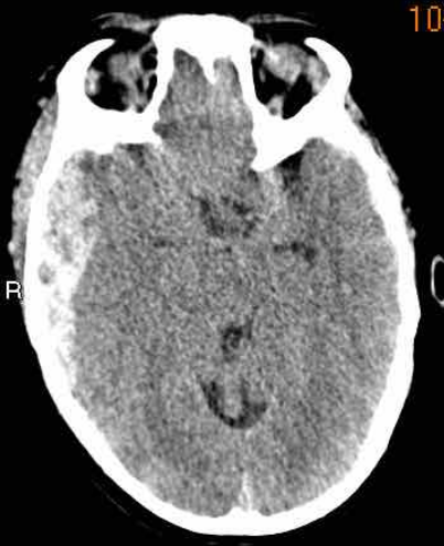
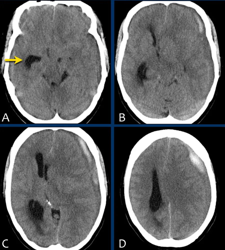
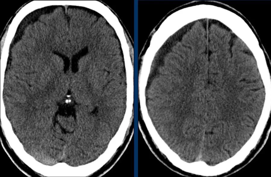
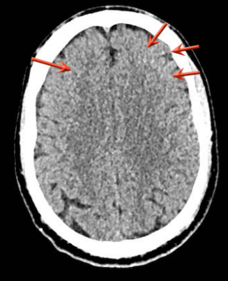
下图显示硬膜下血肿。

注意血肿有高密度区和等密度区。
这可以在超急性出血中看到,但也可以在再出血中看到。
中线结构移位,脑脊液血流受阻,导致右侧脑室颞角扩张(箭头)。
急性硬膜下血肿为高密度(凝血),亚急性血肿为等密度,慢性硬膜下血肿表现为低密度(同脑脊液)。
活动性出血征象:
在急性情况下,硬膜下血肿可能出现异质性:新鲜的非凝血(低)和凝血(高)。
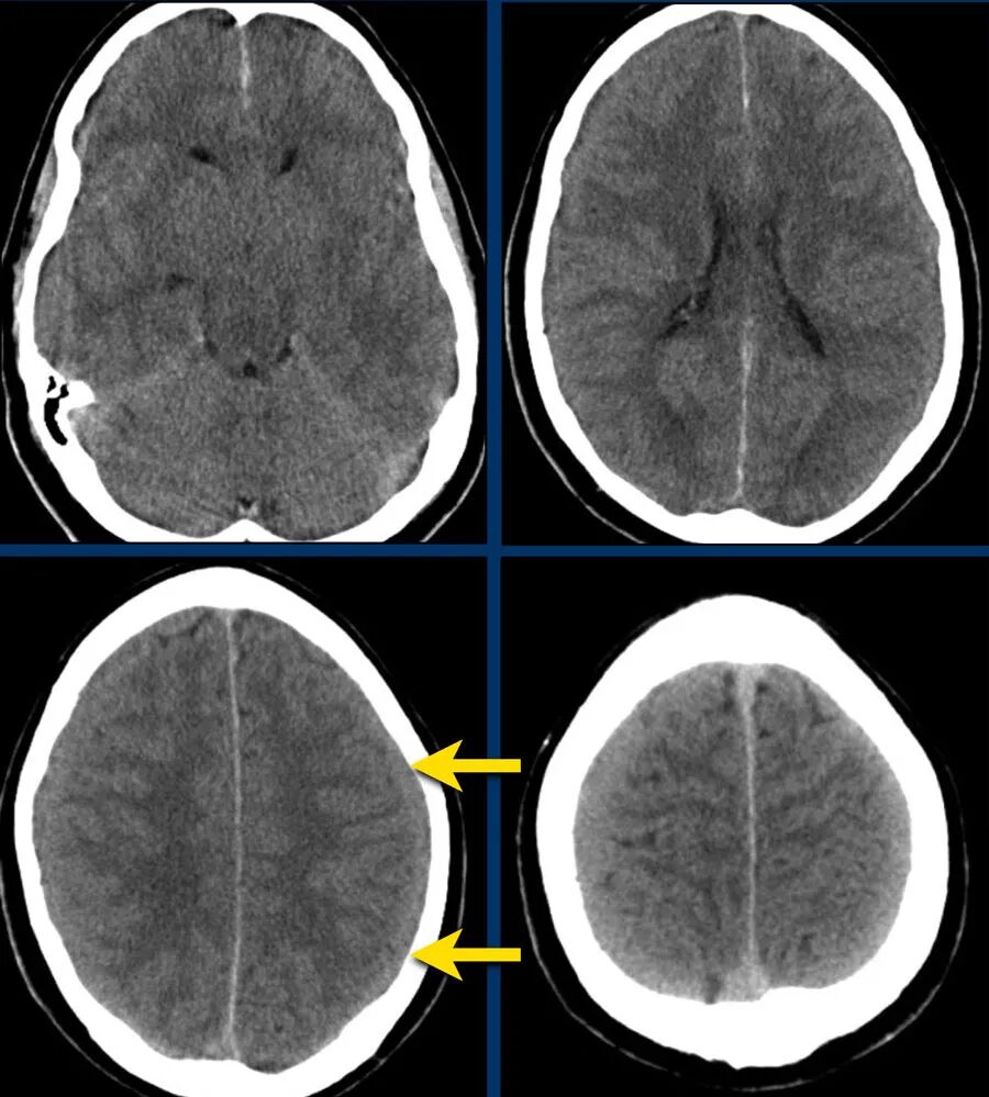
等密度硬膜下血肿
血肿的密度会降低,可能与脑的密度相同,从而使血肿的检测变得困难。
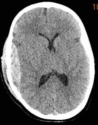
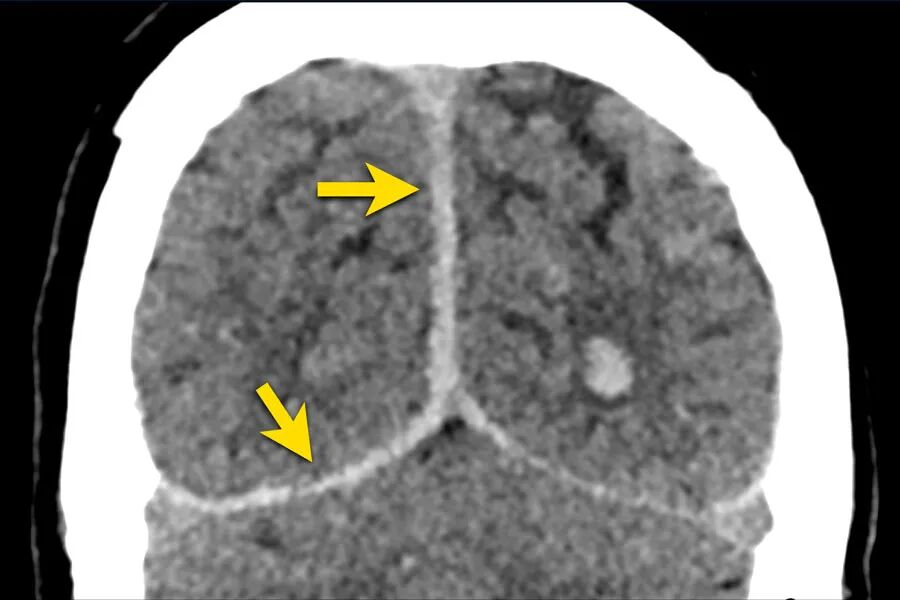
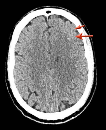
下图一例硬膜下血肿,很难发现(箭头)。

注意,在较高的水平上有双侧硬膜下血肿。
在罕见的情况下,急性硬膜下血肿可能与大脑等密度。
这种情况见于严重贫血、弥散性血管内凝血,或血肿被脑脊液稀释。
当一个慢性硬膜下血肿(>21天)变成低密度,可以和与脑脊液等密度,它可能模拟一个积液。

硬膜下血肿可沿大脑镰和小脑幕扩散,如本例所见。

蛛网膜下腔出血
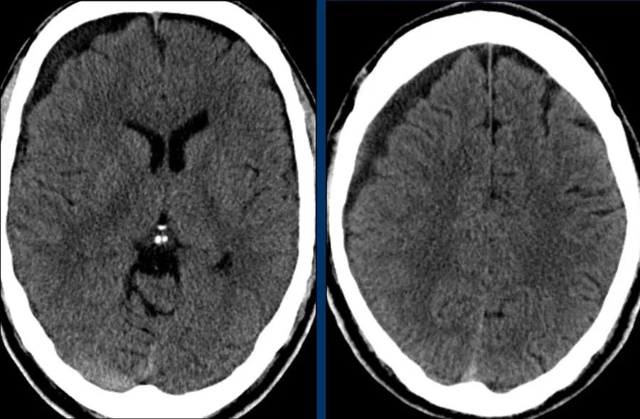
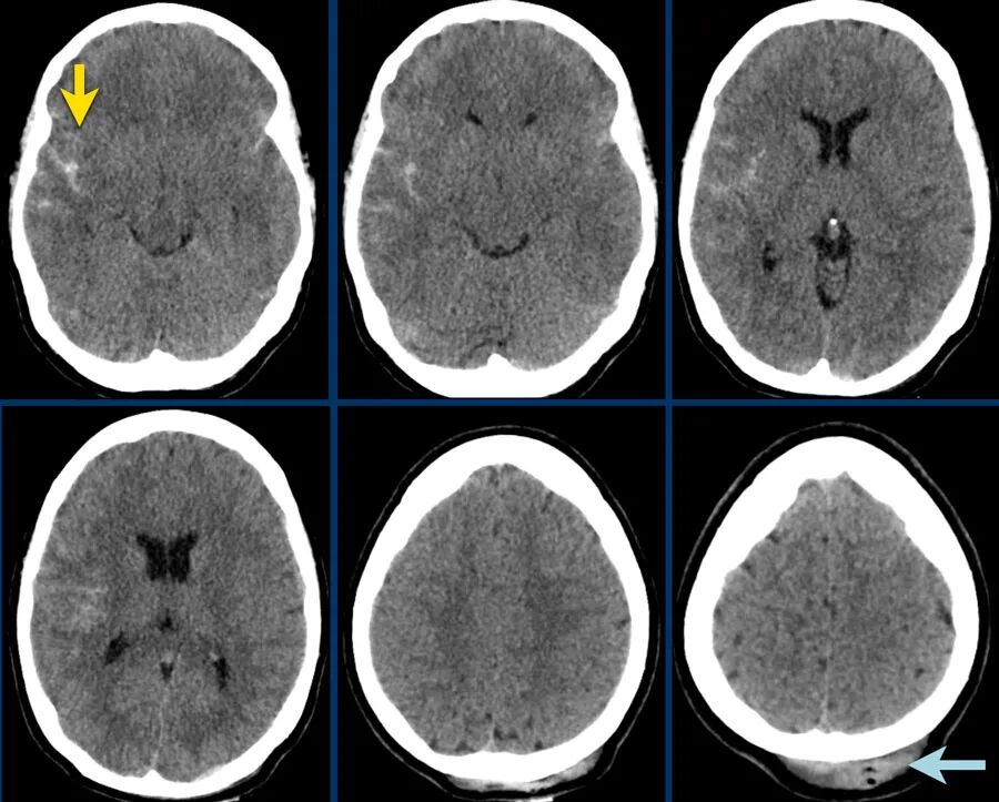
下图显示了外侧裂蛛网膜下腔(黄色箭头)的高密度血液。

注意右侧枕部的皮下出血(蓝色箭头)。
这是一种对冲伤。
弥漫性轴索损伤
具有加减速力的高冲击性创伤,特别是旋转加速,可导致脑组织伸展和变形,导致DAI。
CT对DAI的诊断敏感性较低。
在无外伤性蛛网膜下腔出血或脑室内出血的闭合性创伤性脑损伤中,DAI不太可能发生。
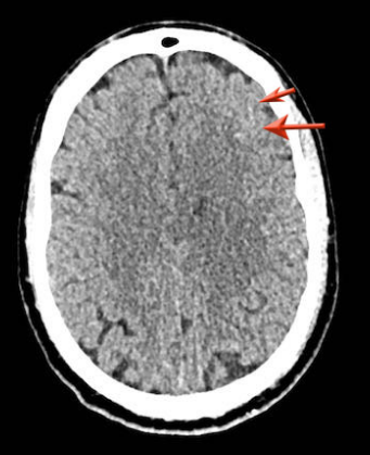
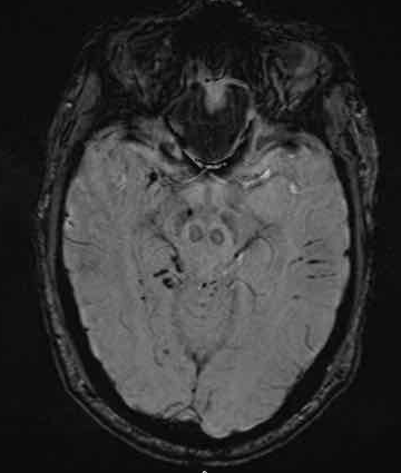
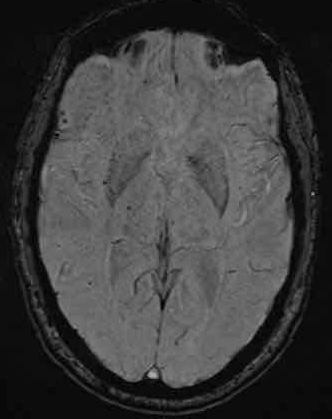
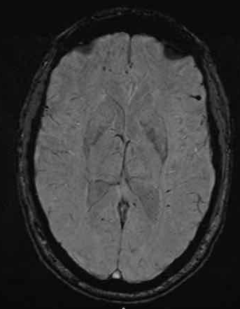
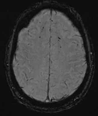
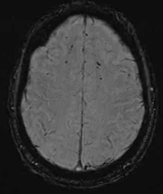
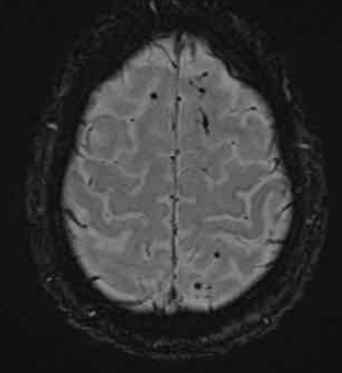
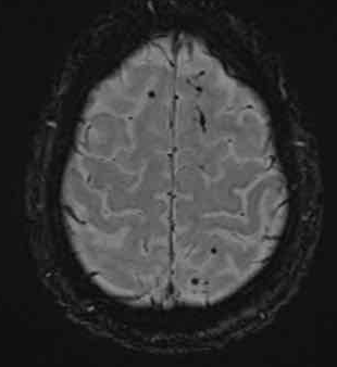
下图 一位46岁的男子骑摩托车时受伤。
瞳孔无反应性,瞳孔扩张。


CT:额叶点状出血。
继续做核磁共振成像







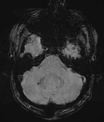
弥漫性轴索损伤(DAI)MRI表现
- 累及皮质下区、胼胝体、右侧丘脑和壳核、脑干、小脑脚和右侧小脑半球。
- 轻度全球萎缩。
MRI可准确诊断DAI,包括T2*GRE或SWI。
DAI在颅脑损伤患者MRI上的存在,更有可能导致不良的功能结局。
MRI可分为三个阶段:
- 脑叶白质可见病变
- 胼胝体损伤
- 脑干损伤
随着MRI分级的进行,不良预后也增加。
胼胝体病变尤其与不利的功能结局有关。
来源:缤纷影像
不论是地面救护、高铁转运
还是航空医疗转运
我们拥有专业的ECMO团队
也拥有转运MDT团队
严谨求实,精益求精
生命至上,人民至上
是我们的宗旨和信念
重庆晓陆康医疗救援服务中心
(简称晓陆康医救中心)
为重症患者提供专业的转运就医
晓陆康医疗救援服务中心不仅承担转运患者责任,更积极承担赛事医疗保障、急救科普培训